A big role for the very small — understanding the endodontic microbial flora

D Figdor,* G Sundqvist

Abstract

Apical periodontitis, an inflammatory process around the apex of a tooth root, is primarily a sequel to microbial infection of the pulp space. The microbial flora is composed of a restricted group of the total oral flora, selected by environmental pressures of anaerobiosis, nutrition and competition with other species and inhabits the root canal as a biofilm of coaggregated communities in an extracellular matrix. The untreated infected canal is generally composed of a polymicrobial mix with approximately equal proportions of Gram-positive and Gram-negative species, dominated by obligate anaerobes.

The type of microbial flora in the root-filled tooth with persistent apical periodontitis has very different characteristics. These infections are characterized by one or just a few species, predominantly Gram-positive micro-organisms with an equal distribution of facultative and obligate anaerobes. Enterococcus faecalis has been a conspicuous finding in most studies.

Because the primary aetiological problem is infection, endodontic treatment is directed at control and elimination of the root canal flora by working in a sterile way. Based on current knowledge, the best available method for obtaining clean, microbe-free root canals is by instrumentation with antimicrobial irrigation reinforced by an intracanal dressing with calcium hydroxide.

Key words: Root canal flora, ecological niche, antibacterial treatment, root canal preparation, root canal irrigants.

Abbreviations and acronyms: EDTA = ethylenediamine tetra-acetic acid; FTM = fluid thioglycolate medium; NaOCI = sodium hypochlorite solution; SEM = scanning electron microscope.

INTRODUCTION

Of the major dental diseases, infection of the root canal is unique for the oral cavity since infection establishes where micro-organisms have not previously been present. The other microbial diseases of the oral cavity, caries and periodontal disease, develop at sites where a microbial biofilm is already established and disease occurs with a change in the environmental conditions, the type and mix of microbial flora.1

In the oral cavity, there are an estimated 1010 bacteria2 consisting of more than 500 different kinds of micro-organisms3,4 and all seek a niche and nutrition. As long as the enamel and cementum layers are intact, the pulp and root canal are protected from invasion, but loss of these structures by caries, cracks or trauma opens an avenue for penetration of bacteria through the dentinal tubules. Leaving behind the nutritionally rich and diverse environment of the oral cavity, microorganisms that establish in the root canal must breach enamel, invade dentine, overwhelm the immune response of the pulp and settle in the remaining necrotic tissue.

Bacteria are everywhere, but the environment selects

All bacteria within the oral cavity share the same opportunities for invading the root canal space, however only a restricted group of species have been identified in infected root canals.58 The reason for the disproportionate ratio between potential and actual number of species is that the root canal is a unique environment where biological selection drives the type and course of infection. An anaerobic milieu, interactions between microbial factors and the availability of nutrition are principal factors that define the composition of the microbial flora.

In the initial phase of a root canal infection, the number of species is usually low. If the way of invasion is via caries, the bacteria in front of the carious process are the first to reach the pulp. In cases where there is no apparent communication with the oral cavity and the bacteria penetrate through dentinal tubules, as in trauma cases without pulp exposure, there is no clear pattern of primary bacterial invaders.7,8 The number of bacterial species in an infected root canal may vary from one to more than 12, and the number of bacterial cells varies from <102 to >108 per sample. A correlation seems to exist between the size of the periapical lesion and the number of bacterial species and cells in the root canal. Teeth with long-standing infections and large lesions usually harbour more bacterial species and have a higher density of bacteria in their root canals than teeth with small lesions.

Studies on the dynamics of root canal infections have shown that the relative proportions of anaerobic microorganisms and bacterial cells increase with time and that the facultatively anaerobic bacteria are outnumbered when the canals have been infected for three months or more.9 The endodontic milieu is a selective habitat that supports the development of specific proportions of the anaerobic microflora. Oxygen and oxygen products play an important role as ecological determinants in the development of specific proportions of the root canal microflora.1012 The consumption of oxygen and production of carbon dioxide and hydrogen along with the development of a low reduction-oxidation potential by the pioneer species favour the growth of anaerobic bacteria.

Nutrition as an ecological driver

The type and availability of nutrients is important in establishing microbial growth. Nutrients may be derived from the oral cavity, degenerating connective tissue, dentinal tubule contents, or a serum-like fluid from periapical tissue. Exogenous nutrients, such as fermentable carbohydrates, affect the microbial ecology of the coronal part of an exposed root canal by promoting growth of species that primarily obtain energy by carbohydrate fermentation. Endogenous proteins and glycoproteins are the principal nutrients in the main body of the root canal system and this substrate encourages the growth of anaerobic bacteria capable of fermenting amino acids and peptides.

The succession of strict over facultative anaerobes with time is most likely due to changes in available nutrition, as well as a decrease in oxygen availability.9 Facultatively anaerobic bacteria dominated by streptococci grow well in anaerobiosis, however their prime energy source is carbohydrates. A decrease in availability of carbohydrates in the root canal occurs when there is no direct communication with the oral cavity, which severely limits growth opportunities for facultative anaerobes.

Growth of mixed bacterial populations may depend on a food chain in which the metabolism of one species supplies essential nutrients for the growth of other members of the population.1317 Black-pigmented anaerobic rods (Prevotella and Porphyromonas species) are examples of bacteria that have very specific nutritional requirements. They are dependent on vitamin K and hemin for growth. Vitamin K can be produced by other bacteria.18 Hemin becomes available when haemoglobin is broken down, but some bacteria may also produce hemin. A wide range of nutritional interactions is recognized among oral bacteria and these may also influence the associations between bacteria in the root canal.1921

After degradation of pulp tissue, a sustainable source of proteins develops because bacteria induce periapical inflammation that leads to an influx of a serum-like exudate into the canal. This fluid contains proteins and glycoproteins, and the bacteria that dominate this stage of the infection are likely to be those that either have aproteolytic capacity, or maintain a cooperative synergy with those that can utilize this substrate for bacterial metabolism.

Flora in untreated root canals

The species commonly recovered by culture from root canals of teeth with apical periodontitis have been described in a previous review.8 Because the root canal environment and nutritional supply govern the dynamics of the microbial flora, it means that the bacteria present in the root canal will depend on the stage of the infection.

Initially, there may be no clear associations between bacteria, but strong positive associations develop among a restricted group of the oral flora due to the type of nutrients in the environment.20,2224 Thus, F. nucleatum is associated with P. micros, P. endodontalis and C. rectus.20 Strong positive associations exist between P. intermedia and P. micros20,24 and Peptostreptococcus anaerobius.20 There is also a positive association between P. intermedia, and P. micros, P. anaerobius and the eubacteria.20 In general, species of Eubacteria, Prevotella and Peptostreptococcus are positively associated with one another in endodontic samples.20,22,24 Properties that these bacteria have in common are that they ferment peptides and amino acids and are anaerobic,25 which indicates that the main source of nutrition in root canals are tissue remnants and a serum-like substrate.

Bacteria in a root canal infection do not occur in vivo as separate colonies, but grow within an extracellular matrix in interconnected communities as a bacterial biofilm. An accurate depiction of the ultrastructural appearance of these biofilms in the infected root canal was first reported by Nair, who described them as co-aggregating communities with a palisade structure.26 The clinical significance of a biofilm growth pattern is that bacteria are relatively protected within the co-aggregated community compared with planktonic forms and are known to be more resistant to antimicrobial treatment measures.2729 Currently, limited information is available on the development, physiology and antimicrobial management of biofilms in the root canal, however this area should provide a fruitful subject for future research.

Contribution of molecular techniques

An improved systematic structure has been made possible with the application of molecular tools to obtain data from 16S rRNA gene sequences,30 which allows enhanced differentiation between microorganisms and led to the establishment of new genera and species. During the last decade, molecular techniques have been used for microbial identification of root canal samples. Many of the species that are reported as new are split off from previously established genera and species, but the ease of identifying culture-difficult species and the specificity of PCR-based methods has meant that some additional species can be included as typical of the microbial flora of the infected root canal. These include spirochaetes,3135 and the species Tanerella forsythensis (formerly Bacteroides forsythus),3640 which are prevalent in infected root canals yet difficult to cultivate.

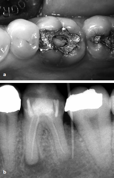
Fig 1. Examples of procedural errors during treatment that lead to failure. (A) Case 1, poor access cavity design, open access cavity and breakdown of the amalgam restoration. (B) Case 2, missed canal and poorly instrumented and obturated canals.

Whilst molecular methods greatly facilitate identification of culture-difficult species and enhance the precision of taxonomic grouping, it is important to recognize the limits as well as the contributions of PCR-based methodology. The high sensitivity of this method implies that it is essential that contamination controls be strictly applied, as contaminants may be easily picked up in the sample and amplified by PCR. The PCR technique is based on recognition of gene sequences — not recovery of cultivable cells capable of growth — so the main drawback of PCR-based methods is that it may detect both living and dead bacteria. Because DNA that persists after cell death may be detected by PCR, the findings from root canal samples may reveal more than just active contributors but could also reflect a historical record of the microorganisms that have entered and not survived in the root canal. Culture-based methods also have their limitations, which include a high degree of skill, labour and time for identification of species and that some species are culture difficult or impossible to culture in vitro. These issues are discussed more fully elsewhere,41 but it is fair to say that both culture and molecular methods each specifically contribute to the study of the root canal flora.

Fig 2. Radiographs of left maxillary central incisor followed over >4.5 year period. A radiolucent lesion was present (a), which was managed by endodontic treatment. The tooth was followed-up over 44 months with no signs of healing (b), so periapical surgery was performed (c) and 1 year later there is complete bone repair (d). Histopathological analysis of the surgical specimen revealed a cyst filled with cholesterol crystals. No bacteria were detected in the root apex or lesion. Reprinted with permission from Nair.142

Flora in root-filled canals

It is generally acknowledged that persistence of disease is most commonly due to difficulties that occur during initial endodontic treatment. Inadequate aseptic control, poor access cavity design, missed canals, inadequate instrumentation, and breakdown of temporary or permanent restorations are examples of procedural pitfalls that may result in persistence of endodontic disease (Fig 1).42

The reasons for disease persistence in well-treated root-filled teeth have been poorly characterized until a series of studies published during the 1990s.4346 Using block biopsy material from non-healed periapical tissues including apices of the root-filled teeth, analysis by correlative light and electron microscopy showed that there were four factors that may have contributed to persistence of a periapical radiolucency after treatment (Fig 2). The factors were: (i) intraradicular infection;43 (ii) extraradicular infection by bacteria of the species Actinomyces israelii and Propionibacterium propionicum;4749 (iii) foreign body reaction;44,50 (iv) cysts, especially those containing cholesterol crystals.45

Fig 3. Apical periodontitis may continue for many years without symptoms. Main radiograph shows lower right molar which had received endodontic treatment 15 years ago. Inset shows same tooth 10 years prior to main radiograph. The unsatisfactory root canal treatment should have been re-done before the tooth was utilized as a bridge abutment.

Rarely, healing may occur by fibrous scar tissue instead of by bone,46 which may be misinterpreted as disease persistence on follow-up radiographs. Of all these factors, it is generally acknowledged that the major cause of post-treatment disease is the persistence of micro-organisms in the apical part of root-filled teeth.

Persistent endodontic disease, or apical periodontitis associated with a root-filled tooth, can continue for many years and may become apparent only when a tooth requires a new restoration or is detected on a routine radiograph (Fig 3). The fact that some microorganisms are capable of survival under harsh, nutrient-limited conditions of the root-filled canal for so long is remarkable. Yet, little information was known about the micro-organisms involved in persistent intra-canal infection after root filling until 1998, when two studies revealed that the microbial flora associated with persistent endodontic disease is quite unlike that found in other oral infections, or that of the untreated root canal.51,52

Microbiology of canals with persistent infection

Usually one or just a few species are recovered from canals of teeth with persistent disease. These are predominantly Gram-positive micro-organisms and there is an equal distribution of facultative and obligate anaerobes.51,52 This microbial flora is distinctly different from infections in untreated root canals, which typically consists of a polymicrobial mix with approximately equal proportions of Gram-positive and Gram-negative species, dominated by obligate anaerobes.

There is some diversity of species isolated from root-filled teeth with persistent periapical disease, but there is a consensus amongst most studies that there is a high prevalence of enterococci and streptococci.5157 Other species found in higher proportions in individual studies are lactobacilli,51 Actinomyces species and peptostreptococci55 and Pseudoramibacter alactolyticus, Propionibacterium propionicum, Dialister pneumosintes, and Filifactor alocis57 and Candida albicans.5153,5557 Some bacteriological findings from studies of root-filled teeth with persistent disease are shown in Table 1.

There is a difference in the microbial flora between poorly treated and well treated teeth when the canals are sampled at re-treatment. In poorly root-filled teeth, the flora is similar to the polymicrobial infection seen in untreated root canals,52,58 which is not surprising when viewed in the context of the likely reasons for the unsatisfactory treatment — inadequate aseptic methods and poor coronal restoration — that together allow an influx of carbohydrates and possibly new bacteria from the oral cavity.

The prevalence of enterococci has been a conspicuous finding in all studies that have investigated the flora in root-filled teeth,5158 with one exception,59 and implicates Enterococcus faecalis as an opportunistic pathogen in persistent apical periodontitis.

Ecological differences between untreated and root-filled root canals

The untreated infected root canal is an environment that provides micro-organisms with nutritional diversity in a shifting pattern over time. The available nutrients are mainly peptides and amino acids, which favour anaerobic proteolytic species.

Table 1. Bacteriological findings in root-filled teeth with persistent periapical lesions

Study Species per root canal with bacteria Enterococcus sp.* Streptococcus sp.* Candida sp.* Actinomyces sp.*
Möller53 1.6 29 16 3 ND
Molander et al.51 1.7 47 20 4 3
Sundqvist et al.52 1.3 38 25 8 13
Hancock et al.55 1.7 32 21 3 27
Peciuliene et al.56 1.6 64 18
Cheung & Ho59 2.6 (1.8 ) ND 50 17 ND
Pinheiro et al.58 2.1 (1.8 ) 55 33 4 20
Siqueira & Rôças57  4.1 77 23 9 5

*Per cent prevalence, in canals with micro-organisms.

Identification by PCR. All other studies by culture.

Excluding poorly filled root canals.

ND Not detected.

Whilst the microbial flora in an untreated infected root canal may experience feast, in the well-filled root canal there is predominantly famine. Most or all of the original necrotic pulp will have been eliminated leaving dry, barren conditions for surviving microbial cells. These microbes endure a static environment and starvation, but with some luck may encounter a serumlike fluid transudate from the periapical tissue. The species that persist are those that either have survived the antimicrobial treatment, or have entered during treatment and found it possible to establish where others cannot do so. Where the coronal seal is defective or missing, there is the possibility for new infection of the root canal space.

Properties of species associated with persistent endodontic disease

With the exception of Actinomyces, which is primarily involved in extraradicular infection, other species commonly associated with persistent intraradicular infection such as candida and enterococci can be viewed as opportunistic pathogens. A shared behaviour is that they leave their normal habitat in the oral cavity and establish in the root canal where they take advantage of the ecological changes and that their microbial competitors have been eliminated by treatment.

For microbes to maintain apical periodontitis and continue to cause disease, they must do more than just survive in the root-filled canal; they must also possess the pathogenic properties necessary to perpetuate inflammation external to the root canal system. In general, micro-organisms involved in persistent infections implement one of three strategies to evade the immune response — sequestration, cellular or humoral evasion.60 Sequestration involves a physical barrier between the microbe and the host. Cellular evasion means that micro-organisms avoid leukocyte-dependent antibacterial mechanisms. Humoral evasion means that those extracellular bacteria avoid the host’s antibodies and complement.

At least two of the three strategies are deployed by micro-organisms involved in persistent endodontic disease.61 A. israelii is an example of an endodontic pathogen that displays cellular evasion by avoiding phagocytosis by PMN leukocytes in vivo6264 primarily through a mechanism of collective cohesion.63 E. faecalis and Candida species are representative of microbes that can remain sequestered within the root canal system.

Micro-organisms involved in persistent endodontic disease require a range of properties that allow them to enter and establish in the root canal, survive the antimicrobial treatment and induce or maintain apical periodontitis (Fig 4). That low numbers of cells survive endodontic treatment implies an ability of some species to withstand instrumentation and antimicrobial irrigation, however numerous reports confirm the bactericidal efficacy of sodium hypochlorite against species involved in persistent infection such as A. israelii,65 E. faecalis6668 and Candida.6971 Thus, these species may have the capacity to shelter from the main root canal in web-like areas, canal ramifications or dentinal tubules where some level of protection or buffering of the antimicrobial agent is possible.72,73 Although most root canal bacteria are sensitive to the high pH of calcium hydroxide,74 several species involved in persistent infection are known to have a capacity to resist a high pH.68,7479

Fig 4. Challenges for microbes involved in persistent infection. There are three phases involved for micro-organisms to enter, persist and survive in the root-filled canal.

Entry and establishment. Microbes must (1) enter the root canal space, (2) compete against other members of the microbial flora and (3) acquire nutrition.

Survival of the antimicrobial treatment. Microbes must survive (4) cleaning, (5) root filling and then (6) endure starvation.

Maintaining apical periodontitis. Microbes must (7) have the capacity to utilize serum-like tissue fluid for nutrition, (8) survive the host defence and (9) be able to induce and maintain inflammation in periapical tissue.

How bacteria endure root filling is unknown, but studies that have sampled the root canal prior to root filling and then followed the treatment outcome of infected teeth have shown that some lesions heal,52,8082 implying that the bacteria did not survive or were not able to inflame the periapical tissue. Whether or not bacteria survive root filling may depend on whether they are entombed, or blocked from acquiring nutrition. It is possible, even likely, that bacteria may undergo a period of starvation. The ability of E. faecalis to endure periods of starvation,8386 is a trait that may be crucial for survival.

Fig 5. The location of microbes is critical for access to host-derived nutrients and to inflame periapical tissue. Light microscopic view of a surgically removed root apex with persistent apical periodontitis, showing proximity of a microbial mass in communication with periapical tissue. Consecutive sections (a, b) reveal the emerging widened profile of an accessory canal (AC) that is clogged with microbial biofilm (BF). The accessory canal and biofilm are magnified in (c) and (d) respectively. Reprinted with permission from Nair et al.43

Apical periodontitis is a dynamic process involving an interaction between host and living bacteria, and the microbes need to find substrates for growth. In a well-instrumented root canal where necrotic pulp tissue has been removed and there is no communication with exogenous nutrients from the oral cavity, nutrition is likely to come from a periapical fluid transudate, which is probably serum-like in nature. The capacity of some species to degrade serum and tissue molecules corresponds with an ability to avoid the host defence and induce an inflammatory response.87 An ability to utilize collagen within dentine may also be useful and there are indications that E. faecalis may have this property.88,89

Conditions for persistent infection

In a study that examined the influence of infection at the time of root filling on the outcome of treatment,80 68 per cent of teeth that were infected at root filling healed after the treatment. Similar results have also been reported in other studies.52,81,82 Whilst infection at the time of root canal filling will adversely affect the outcome of treatment, the mere presence of an endodontic pathogen is not in itself sufficient for disease persistence. Several parameters must be met for micro-organisms to maintain apical periodontitis following endodontic treatment.

Persistent endodontic treatment disease involves multiple microbial and location factors. Microorganisms must possess an ability to survive the antimicrobial treatment and require ‘persistence’ characteristics such as a capacity for starvation survival and an ability to utilize serum-like periapical transudate as a nutritional source. The location of microbes within the root canal system is crucial for access to nutrients. They must be situated near the apical (or an accessory) foramen and have an open communication for the free exchange of fluid, molecules and for organisms to inflame the periapical tissue (Fig 5). Together, these microbial characteristics and opportunities of location determine whether microorganisms that survive treatment are able to maintain apical periodontitis following such treatment.

Importance of asepsis

Since the primary goal of endodontic therapy is the elimination of bacteria from the root canal, an essential requirement during treatment is that it be undertaken in a sterile environment where further contaminating micro-organisms can be reliably excluded from the canal. The treatment of root canal infections is unique in the sense that it is possible to isolate the area from the rest of the oral cavity by use of rubber dam. Efficient methods are available for disinfection of the operative field, the tooth and rubber dam. The importance of using sterile instruments and an aseptic technique in a disinfected field cannot be overemphasized, since failure to do so may have a direct bearing on the outcome of treatment.

Every effort should be made to exclude and eliminate micro-organisms from the operative field and the root canal itself. Application of the rubber dam is mandatory for endodontic treatment. The rubber dam must properly isolate the tooth from the oral cavity to ensure an aseptic field.

Once the tooth is isolated from the oral cavity, the tooth surface and adjacent rubber dam should be cleaned with 30% hydrogen peroxide, taking care to ensure that the skin and eyes of the patient and staff are protected. The same area is then carefully disinfected by scrubbing the area with 5% tincture of iodine,53 sodium hypochlorite90 or 2% chlorhexidine in alcohol. These procedures are simple yet effective and greatly reduce the chances of contaminating the open root canal.

Antimicrobial effect of debridement

The control of bacteria within the root canal might appear to be straightforward since such a large proportion of the bacterial flora is sensitive to oxygen. However, the penetration of oxygen into the canal during treatment does not seem to have any significant effect on the bacteria. The reason for this is that many of the bacteria are protected in the irregularities and branches of the root canal system and in dentinal tubules. Only a few cells need to survive treatment so that when the canal is closed, the anaerobic milieu will be restored and the bacteria can re-multiply. The microbial flora within the root canal must be actively eliminated by a combination of physical debridement and antimicrobial chemical treatment.

Although the most important aspect of root canal instrumentation is undoubtedly the elimination of bacteria and the removal of remnants of pulp tissue and debris, the shaping of the root canal to accommodate the root filling material is also of importance. A great deal has been written about the preparation of the root canal to achieve a tapering form91 since this shape facilitates cleaning of the apical third,92 preserves the apical foramen from over-instrumentation and facilitates filling of the canal.

Preparation of the root canal consists of two main phases: debridement by manual and mechanical instrumentation, and chemical disinfection by irrigation and subsequent antibacterial dressing. The relative effectiveness of these measures has been studied in a series of investigations with advanced bacteriological techniques74,9397 and the cleansing effect of the mechanical instrumentation has been studied by histology92,98,99 and by scanning electron microscope (SEM) analysis of the appearance of the root canal wall before and after instrumentation of the root canal. 72,100102

Antimicrobial efficacy of manual instrumentation

Infected root canals can harbour between 102 to more than 109 bacterial cells.93,97 Manual instrumentation with 6–10ml of saline per canal can reduce the number of bacteria in infected root canals by 100 to 1000-fold.93 However, root canal preparation with hand files and saline irrigation is only moderately effective. Early studies in which no antiseptic irrigants were used reported that 20 to 30 per cent of the root canals that were infected at the beginning of treatment yielded negative cultures at the end of the first appointment.103105 These studies are of limited value because they were performed with bacteriological techniques unsuited to the recovery of anaerobes.

Using advanced bacteriological techniques, it has been shown that the number of bacteria can be significantly reduced, but not to an extent that negative cultures can be reliably obtained at the end of the first appointment.93 This underlies the importance of supporting the mechanical cleaning of canals with antimicrobial irrigation.

SEM studies of canals that have been manually instrumented with saline irrigation show that loose debris can be eliminated from the upper and middle thirds of the root canal.101 Filing with endodontic instruments translocates and burnishes the superficial components (organic and inorganic) of the circumpulpal dentine and creates an amorphous smear layer on the canal walls.106108 This layer is not affected by irrigation with saline.101

Table 2. Effect of stainless steel or NiTi instrumentation on bacterial elimination

Instrumentation and irrigation regime Canals rendered bacteria free %
Sjögren et al.97 St/steel, NaOCl 50
Sjögren et al.80 St/steel, NaOCl 60
Shuping et al.109 NiTi, NaOCl 62
McGurkin-Smith et al.110 NiTi, EDTA + NaOCl 53
Waltimo et al.111 St/steel, NaOCl 76

Antimicrobial efficacy of rotary NiTi instrumentation

Engine-driven instruments make canal preparation faster and less tedious than hand instrumentation. The flexibility of nickel-titanium rotary instruments facilitates shaping of curved canals and enables the clinician to instrument canals to the desired tapered form with a high degree of consistency.

The antimicrobial effectiveness of instrumenting canals with rotary nickel-titanium instruments is in line with the results seen with manual instrumentation of root canals.80,97,109111 Thus, instrumentation with either stainless steel or nickel-titanium rotary instruments in the presence of NaOCl renders canals free of bacteria in half to three-quarters of cases (Table 2). A recent in vivo study that applied correlative light and electron microscopic techniques to evaluate residual intracanal infection after instrumentation with stainless steel hand files in mesiobuccal canals and NiTi instruments in mesiolingual canals of the same lower molars showed that there was no difference in their respective ability to eliminate infection.99 That bacteria cannot be completely eliminated after thorough instrumentation and irrigation regardless of the technique (Fig 6) points to the need to follow instrumentation with an antibacterial dressing before obturation to better achieve the goal of bacteria-free root canals.

Does apical enlargement eliminate infection?

A number of studies have suggested that apical enlargement may reduce the microbial flora compared with instrumentation to smaller file sizes. These studies, some of which are listed in Table 3, have been performed under different conditions with divergent results. On the basis of selected findings, some authors have advocated that it should then be possible to complete endodontic treatment in one visit if cleaning to a large apical size completely eradicates bacteria.

With significant root canal enlargement, it is not surprising that it might result in a reduction in the bacterial flora, but it happens at the expense of tooth structure. Can this method of instrumentation totally and predictably eliminate bacteria, or is it simply a further reduction of the overall bacterial load? It should be appreciated that whilst bacterial reduction is undoubtedly desirable, the goal of endodontic treatment is bacterial eradication. Whenever bacterial cells survive, there remains a risk that they may multiply and reach numbers that have the capacity to maintain periapical inflammation.

Fig 6. Microbes grow as biofilms in the root canal system and may be located in areas that are inaccessible to instrumentation such as isthmuses or accessory canals. Light microscopic view of transverse section through a surgically removed root apex of a mesial root of lower molar (a). The rectangular demarcated area in (a) is magnified in (b) and the mesiolingual (ML) and mesiobuccal (MB) canals, magnified in (c), communicate and are root-filled (GP). The rectangular demarcated area in (b) is magnified in (e). The main canals show recesses and diverticulations; those in the rectangular demarcated area in (c) are magnified in (d). One non-instrumented accessory canal (AC in (e)) is enlarged in (f). The larger accessory canal in (e, f) is clogged with bacteria (BA). Black arrowheads in (f) show cross-sectioned profiles of anastomoses of the root canal system. Reprinted with permission from Nair et al.99

It is known that after instrumentation there are very few remaining cells, which may number less than 102 and special procedures and precautions are required to recover the remaining bacterial cells. Only a few culture studies have adopted the measures necessary to recover these cells. As an example, the steps taken in one of these studies80 for recovery of small numbers of cells after instrumentation is shown in Table 4. In contrast, a study112 cited as showing that increased apical enlargement results in bacterial elimination claimed that 89 to 100 per cent of canals were rendered bacteria free when molars were instrumented to a size 60 and canines/premolars to a size 80, respectively. The bacteriological methods for sampling after instrumentation and culture in that study are shown in Table 4.

Table 3. Effect of larger apical sizes on apparent bacterial reduction

Type No. of bacteria
Yared & Bou Dagher143 In vivo Reduction
Siqueira et al.144 In vitro Reduction
Shuping et al.109 In vivo Reduction
Rollison et al.145 In vitro Reduction
Coldero et al.146 In vitro No difference
Card et al.112 In vivo Elimination

When a sensitive technique is used80 the chances are optimized for bacterial recovery. For example, where three samples are taken and no growth is seen with one sample the others can be used as backup and check of the first sample. An ‘enrichment’ medium, fluid thioglycolate medium (FTM), was used so that if colonies did not appear on the plates, new plates were inoculated from the other PYG broth and the FTM. If none are positive for bacteria, one can be more assured of the veracity of a negative result. Even the application of paper points must be done with utmost care to maximize recovery of fluid from the root canal. Figure 7 shows two paper points from the same canal. One is negative and the other is positive for bacteria, because the left one is thinner and reached further apically in the canal to capture bacteria. The light microscopic view of a sectioned tooth root apex shown in Fig 5 illustrates where bacteria may be located and how they can escape recovery if a paper point does not reach the full canal length.

Dilution of a sample is another critical step in bacterial cultivation. The mean number of cells in an untreated case may be as high as 106 to 109cfu/ml and in order to quantify cells and distinguish species from one another, serial dilution is necessary to obtain about 50–200cfu per agar plate. However, when small numbers of cells and species are anticipated in a sample, such as after antimicrobial instrumentation or filling, the method of dilution is markedly different. Under these conditions, minimal dilution and large aliquots of the sample inoculated onto the plate are more likely to recover a few cells than a small aliquot and an automated spiral plate dilution device (Table 4).

Other factors may also influence recovery of cells. After instrumentation, the surviving bacteria are in a fragile state and are vulnerable to handling and oxygen exposure. Thus, handling the sample in an anaerobic box and growth on media for at least 10d enhances the chances for cell survival. Identification of recovered species helps ensure sample accuracy and protects against contamination. Thus, recovery of species not normally identified in the root canal, e.g., Staphylococcus epidermidis, would imply a contaminant and this provides a check of sample integrity. Similarly, tracing a species from sample to sample through a single clinical case helps ensure that a species isolated after treatment was present in the canal from the beginning of treatment. If a species is identified in a post-treatment sample that has not been isolated in pretreatment samples, it implies contamination. Simple bacterial counts without species identification cannot provide the same level of information.

Table 4. Examples of differences in sampling method that influence microbe recovery

Sjögren et al.80 Card et al.112
3 samples: 2 in PYG broth, 1 in enrichment FTM Large aliquot on plate, no dilution Anaerobic box, >10 d. If no growth, used backups Species identification 1 sample: Liquid DTF Small volume on plate, spiral plate dilution Anaerobic gas jar, incubated 5–7 d Simple counts. No species identification

Without a deeper insight of bacteriological procedures, these differences may appear slight yet the consequences of a less sensitive method for cultivation and culturing are that it is unlikely that small numbers of cells will be identified in a sample. This is likely to account for the perceived differences in recovery of bacteria from cleaned root canals and limits the conclusions that can be drawn from such material. That complete eradication of infection cannot be achieved by apical enlargement is confirmed by immunohistological113 and microscopic analysis of canals instrumented in lower molars,99 which revealed that microbes are often located as biofilms in inaccessible areas of the canal system such as isthmuses or accessory canals (Fig 6). Thus, on the basis of currently available information there is insufficient scientific support for the idea that it is possible to eliminate infection by apical enlargement of the canal space.

Clinical implications of apical enlargement

Even though the use of rotary NiTi instrumentation allows curved roots to be widened to sizes 45 to 80, there is a question about the effect of such enlargement on tooth structure. More than 25 years ago, cleaning to large apical sizes was advocated114 and was fraught with procedural clinical problems, mainly associated with iatrogenic damage to the fine structure of the apical third of the root. The difference between the stainless steel instruments of that time and NiTi instruments of today is that the increased flexibility of NiTi instruments reduces the chance of deviation from the original canal anatomy during instrumentation. However, an open question is: compared with conservative techniques of apical preparation, does apical enlargement provide better clinical results and with a suitable margin of safety?

Fig 7. Two paper points from the same canal. The right one is negative for bacteria, whereas the left paper point is thinner and has reached further apically in the canal to recover bacteria.

Observation of the results of those practising techniques of apical enlargement has shown that, apart from in the hands of the most highly skilled clinicians, there are many procedural risks associated with apical enlargement. Some of the potential procedural problems associated with enlarged apical instrumentation are summarised in Table 5.

As a direct consequence of apical enlargement, the tooth structure surrounding the root canal space is thinned and the risk to the integrity of the root structure is greatest where there is the smallest amount of original tooth structure. Consequently, the risk of apical perforation is progressively higher with increasing instrument size and may result in root weakness and splitting of the delicate apical root structure.

A lower margin of safety applies with apical enlargement since a minor miscalculation in measurement may result in a significantly more damaged apex. An over-instrumentation error with a size 60 or 80 file leaves a much larger apical wound than a size 25 file — the wound surface area is 6–10 times greater with a size 60 or 80 instrument than a size 25 file, respectively. Thus, with apical enlargement the operator skill becomes a much more critical factor for the outcome of clinical treatment and there is a noticeably lower margin of safety.

Apart from the risks to the integrity of tooth structure, apical enlargement also has the potential to adversely impact on subsequent endodontic procedures. Once the canal has been instrumented to a larger size (>#45), the filling material is more difficult to control during obturation. If, in addition, the apex has been opened there is a higher risk of overfilling, which has been shown to be associated with a reduced success rate.114117 Lastly, if an apically enlarged root filling fails, it may be much more difficult or impossible to successfully retreat the tooth. This is because the more dentine removed during initial treatment, the less dentine is available for preparation at re-treatment. Further instrumentation of an apically enlarged canal significantly increases both the risk of procedural errors (perforation, zipping, etc.) and heightens the risk of excessive apical root weakness or splitting.

Table 5. Potential pitfalls in apical enlargement (see text for details)

Risk Reason
Apical perforation Root weakness & apical splitting Low margin of error Challenging to root fill Difficult to retreat Higher risk of perforation due to larger apical size Thinned root canal walls and reduced apical tooth structure Minor errors in measurement, may result in a damaged apex Filling material is more difficult to control during obturation Thin root walls may preclude or hamper retreatment

Based on current knowledge, the answer to the question ‘does increased apical enlargement predictably eliminate bacteria?’ is no. To the question ‘does apical enlargement provide better clinical results and with a suitable margin of safety?’, the answer is no. The results achievable with a suitable antimicrobial dressing are more predictable and do so in a conservative way. Taken together, the thin evidence for apical enlargement as a means of bacterial eradication, and the significantly increased risk of procedural errors, the disadvantages and risks of apical enlargement far outweigh the perceived benefits.

Antimicrobial effect of chemical agents

The antibacterial effect of mechanical preparation with saline as an irrigant has been shown to be inefficient in the elimination of bacteria from the root canal.93,118 This implies that mechanical instrumentation of the canal must be supplemented by antibacterial irrigants and dressings for efficient elimination of micro-organisms from the root canal. There are many other benefits to be gained by the use of chemical agents during the preparation of the root canal. The agents used for chemical disinfection can be separated into two types — those used for irrigation during canal preparation and those used as an intracanal dressing between appointments.

Irrigation

Irrigation of the root canal is an essential component of root canal preparation. The main benefits of using irrigants during the cleaning of the canal include wetting of the canal walls and removal of debris by flushing, destruction of micro-organisms, dissolution of organic matter, removal of smear layer and softening of dentine and cleaning in areas that are inaccessible to mechanical cleansing methods.

When applied to infected tissue, an irrigant should ideally destroy micro-organisms and their toxins without damaging normal tissues. Sodium hypochlorite solution (NaOCl) was identified early last century as a promising microbicide that did not cause tissue damage or interfere with wound healing.119

A clearly superior antibacterial effect has been demonstrated when NaOCl solution is used as an irrigant. Although the concentration of NaOCl solution seems to have little apparent effect on antimicrobial activity in the root canal system,95,120 the efficacy of weak solutions decreases rapidly and consequently irrigation should be frequent and copious. In addition to its powerful antimicrobial activity, NaOCl solution has a strong capacity for dissolution of organic matter.101,102,121123 The tissue dissolving ability of NaOCl solution is influenced by the amount of organic matter, the fluid flow around this matter and the surface area available for interaction.124

The chelating agent ethylenediamine tetra-acetic acid (EDTA) is commonly used as an irrigant in conjunction with NaOCl solution, because EDTA is highly effective in removal of the smear layer and opening dentinal tubules,101 which potentiates the reach of antimicrobial irrigation and dressing.

There are many regions of the root canal system that are simply inaccessible to mechanical instrumentation and all of these areas have the potential to harbour micro-organisms and necrotic pulp tissue. These areas include accessory canals, fins and webs that branch from the main canal or canals. Areas that are inaccessible to mechanical instrumentation can only be cleaned by antimicrobial irrigants that are able to permeate into these recesses. Any further antibacterial effect will only occur with the support of an intracanal dressing.

Dressings

Mechanical cleaning, irrigation and dressing with antibacterial medicaments achieve a reduction of the number of living bacteria in infected root canals. Evaluation of the relative efficacy of these measures in eliminating the bacteria has shown that mechanical cleansing supported by irrigation significantly reduces the number of bacteria in the root canal, but that approximately 25 to 50 per cent of canals treated in this way still contain bacteria at the end of the appointment.80,97,109111 The number of persisting bacterial cells is usually low, but these remaining bacteria can recover and rapidly increase in number between treatment visits if no antibacterial dressing is present in the root canal. The growth of bacteria between appointments can ultimately lead to the re-establishment of the number of bacteria that were initially present in the root canal before treatment.

The principal goal of dressing the root canal between appointments is to ensure a safe, antibacterial action with a long-lasting effect. If the active agent in the medicament is rapidly lost then the duration of its antibacterial activity is likely to be short, and thus ineffective. The antibacterial effect of dressing root canals with camphorated paramonochlorophenol and camphorated phenol has been assessed in vivo and been shown to be of limited efficacy.74

The clinical effectiveness of calcium hydroxide in infected canals has been tested in a number of in vivo studies and been shown to be an efficient antibacterial treatment eliminating micro-organisms in previously untreated cases from 75 per cent125127 to more than 90 per cent of dressed canals.74,97,109,128 Application of an interappointment calcium hydroxide dressing prior to obturation has been shown to yield improved healing responses over non-calcium hydroxide treated teeth in human81 and animal teeth.82,129132 Treatment with calcium hydroxide has also been shown to dissolve necrotic tissue and enhance the tissue dissolving effect of NaOCl solution.122,133135

It is critical that the calcium hydroxide dressing be placed carefully in the instrumented canal as a thick, moist paste fully filling the entire canal136 and that it be left for sufficient time to achieve the desired antimicrobial effect. The paste consistency helps prevent influx of the periapical fluid, which is an important nutrient source for any remaining bacterial cells. The hydroxyl ions that are responsible for the strong antibacterial effect are rapidly potent when in intimate contact with target micro-organisms in vitro,65,74,137 but need time under in vivo conditions to diffuse into the adjacent dentine. The reason for the slow diffusion of hydroxyl ions into dentine is the powerful buffering capacity of dentine, which creates a concentration gradient across the root wall.136,138141 Dressing the canal for one week has been shown to be an efficient method in the clinical setting.97

After canal preparation and final irrigation, residual fluid should be aspirated leaving the canal walls moist since the antimicrobial effectiveness of calcium hydroxide depends on an aqueous environment. Calcium hydroxide is easily applied as a paste into the canal with a spiral paste filler. Any residual calcium hydroxide on the walls of the access cavity should be carefully removed before the temporary filling is placed. A well placed temporary filling of >4mm depth is essential, for without it the many antibacterial steps preceding its placement are rapidly undone.

CONCLUSION

Infection of the root canal is not a random event. The type and mix of the microbial flora develop in response to the surrounding environment. Factors that influence whether species die or survive are the particular ecological niche, nutrition, anaerobiosis, pH and competition or cooperation with other microorganisms. Whether it is a necrotic pulp or root-filled space, the environment selects for micro-organisms that possess traits suited to establishing and sustaining the disease process.

Reduction and elimination of micro-organisms from the infected root canal provides the optimal chance of treatment success. The goal of achieving a clean, microbe-free canal can best be realised by working in a sterile way using instrumentation with antibacterial irrigation, which is reinforced by an intracanal dressing with calcium hydroxide. Alternating regimes of sodium hypochlorite solution and EDTA during canal preparation followed by dressing with calcium hydroxide for a minimum of seven days are a powerful combination for elimination of bacteria from the root canal. Provided sufficient time is available for canal preparation at the first visit and filling of canals at the second, endodontic treatment can be completed in just two visits with the assurance that there is a high chance of eliminating bacteria from the root canal system.